Thought LeadershipCan Phage-Based Diagnostics End the Global TB Rage?Jane Theaker, MScNatural mechanisms of bacteriophages may help identify active TB early in those at risk
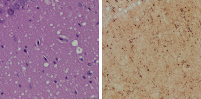
NewsNew Skin Test Detects Prion Infection Before Symptoms AppearCase Western Reserve UniversityProof-of-concept study demonstrates the test’s preclinical utility