FeatureTop 5 Clinical Trials Shaping Medicine in 2025 Zahraa Chorghay, PhDFrom precision oncology to gene editing, these standout trials could redefine how we diagnose and treat rare diseases and cancer
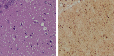
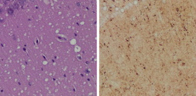
NewsNew Skin Test Detects Prion Infection Before Symptoms AppearCase Western Reserve UniversityProof-of-concept study demonstrates the test’s preclinical utility