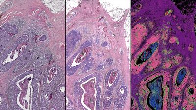
It can be difficult to distinguish cancer from healthy tissue or to pinpoint the boundaries of a tumor, and in many cases diagnosis is subjective
We’ve updated our Privacy Policy to make it clearer how we use your personal data. Please read our Cookie Policy to learn how we use cookies to provide you with a better experience.