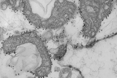
The results could explain why older adults, people with diabetes or heart disease have severe responses to COVID-19
We’ve updated our Privacy Policy to make it clearer how we use your personal data. Please read our Cookie Policy to learn how we use cookies to provide you with a better experience.