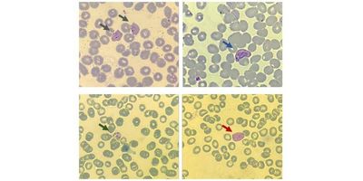
Researchers Identify Potential Therapy and Diagnostic Markers for Cerebral Malaria
National University of Singapore
The study identified a nine-gene blood signature that consistently separated cerebral malaria from milder malaria and from healthy individuals









