New research collaboration tunes into signals that will help make better organoids to mimic functions of the trachea, esophagus, stomach, liver, gallbladder, bile ducts, and pancreas
The model resembles some key elements of an embryo at around 18-21 days old and allows researchers to observe the processes underlying the formation of the human blueprint
A deeper understanding of the effect that age and non-genetic factors like location and anemia status have on immune system development holds promise to improve the efficacy of childhood vaccinations
Researchers have found a previously unappreciated hematopoietic wave taking place in the bone marrow of late fetuses and young adults and producing HSCs from resident hemogenic endothelial cells of somite origin
Currently, the only way to diagnose genetic disorders in developing fetuses is by retrieving trophoblasts through amniocentesis or chorionic villus sampling
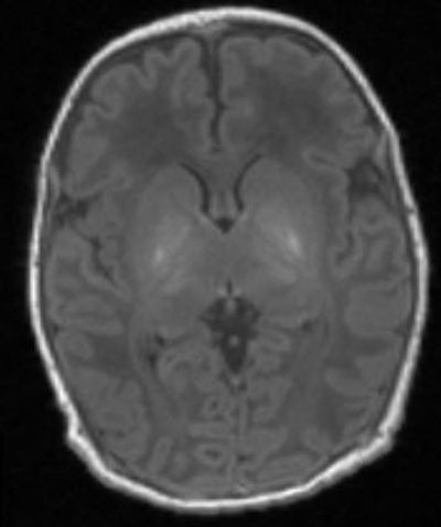
In a study of more than 200 babies, magnetic resonance spectroscopy predicted damage with 98 percent accuracy
We’ve updated our Privacy Policy to make it clearer how we use your personal data. Please read our Cookie Policy to learn how we use cookies to provide you with a better experience.