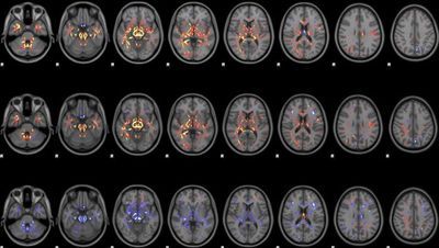
High performance liquid chromatography is being used to develop a blood test for rapid, accurate concussion diagnosis
We’ve updated our Privacy Policy to make it clearer how we use your personal data. Please read our Cookie Policy to learn how we use cookies to provide you with a better experience.