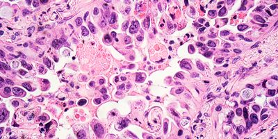
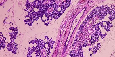
A multicenter study compared the analyses of cancer screening sample slides from digital pathology with light microscopy
We’ve updated our Privacy Policy to make it clearer how we use your personal data. Please read our Cookie Policy to learn how we use cookies to provide you with a better experience.