Study Finds Genetic Markers of Survival in Rare Childhood Cancer
Genomic profiles of patients with rhabdomyosarcoma could help future clinical trials classify patients into treatment groups

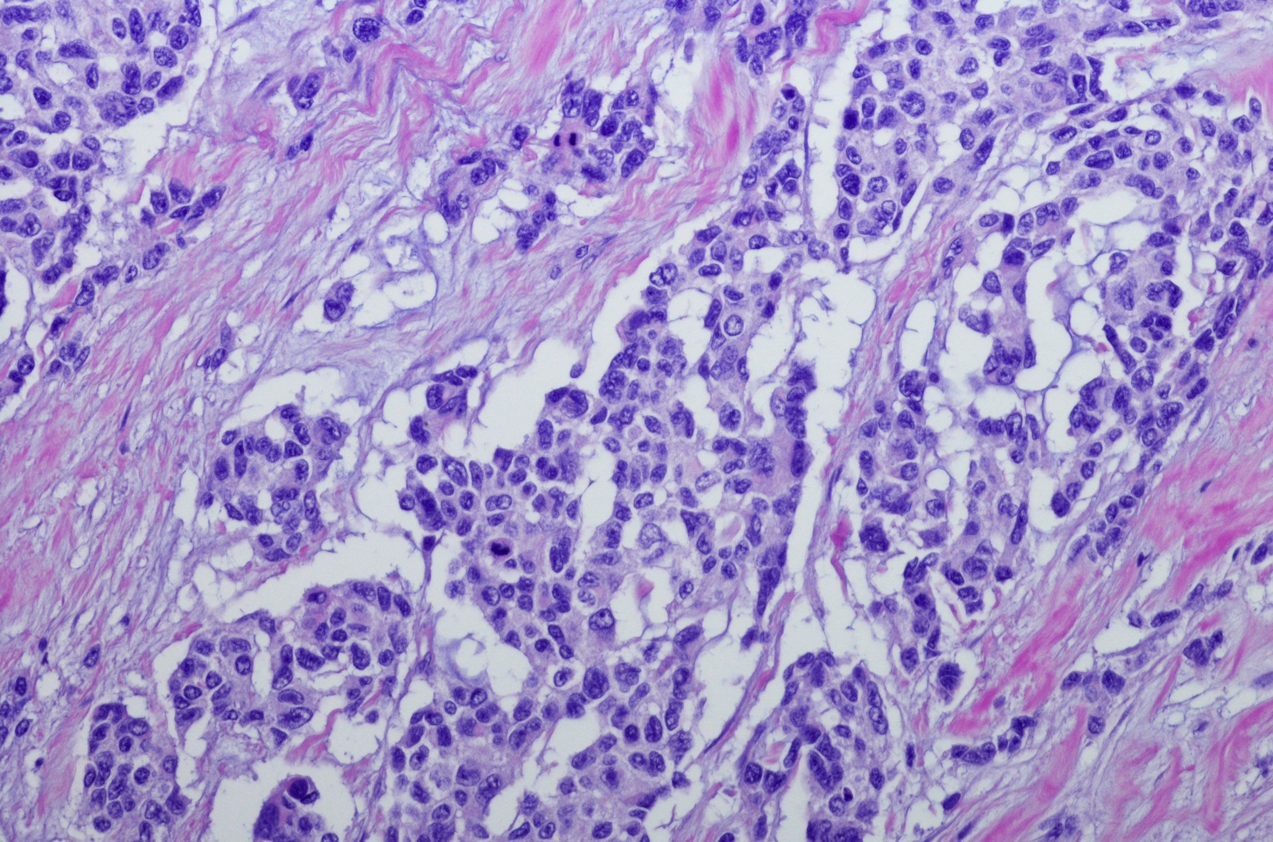
A large study published on June 24 in the Journal of Clinical Oncology has identified mutations in several genes that are associated with poor survival in children with a rare cancer that affects soft tissue called rhabdomyosarcoma, or RMS.
The five-year survival for children with recurrent or metastatic RMS is known to be less than 30 percent, even with aggressive therapy. Currently, only one genomic marker—PAX-FOXO1 fusion gene status—is available to risk-stratify patients with RMS.
To find more genetic markers of RMS prognosis, the researchers sequenced tumor samples collected from two international cohorts of patients enrolled in clinical trials between 1998 and 2017. Using next-generation sequencing, they identified mutations, indels, gene deletions, and amplifications, and their associations with survival in 641 patients.
Patients with mutations in the TP53 or MYOD1 tumor suppressor genes had a poorer prognosis than patients without those mutations. The researchers identified a median of one mutation per tumor; patients with two or more mutations per tumor had poorer survival outcomes.
The researchers write that future prospective clinical trials should incorporate profiles of these genetic features to help classify patients into treatment groups, and to fully understand their prognostic value in RMS.
