Novel Nanopipette Could Advance Single-Cell Analysis
Learning how tumor cells adapt to treatment through nanobiopsy could aid in preventing cancer recurrence
The high-tech double-barrel nanopipette, developed by University of Leeds scientists, and applied to the global medical challenge of cancer, has—for the first time—enabled researchers to see how individual living cancer cells react to treatment and change over time, providing vital understanding that could help clinicians develop more effective cancer treatments.
The tool has two nanoscopic needles, meaning it can simultaneously inject and extract a sample from the same cell, expanding its potential uses. And the platform’s high level of semiautomation has sped up the process dramatically, enabling scientists to extract data from many more individual cells, with far greater accuracy and efficiency than previously possible, the study shows.
Currently, techniques for studying single cells usually destroy them, meaning a cell can be studied either before treatment or after. This device can take a biopsy of a living cell repeatedly during exposure to cancer treatment, sampling tiny extracts of its contents without killing it, enabling scientists to observe its reaction over time.
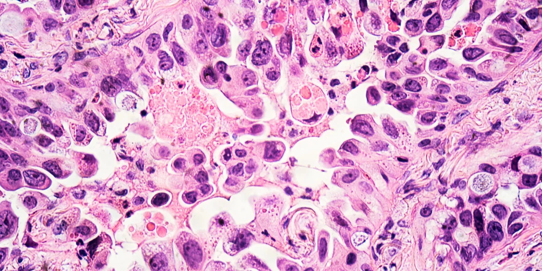
During the study, the multidisciplinary team tested cancer cells’ resistance to chemotherapy and radiotherapy using glioblastoma (GBM) as a test case, because of its plasticity—the ability to adapt to treatment and survive. The findings have been published recently in Science Advances.
Unique insight into cellular and drug interactions
One of the paper’s corresponding authors, Lucy Stead, PhD, associate professor of brain cancer biology at the University of Leeds’ School of Medicine, said: “This is a significant breakthrough. It is the first time that we have a technology where we can actually monitor the changes taking place after treatment, rather than just assume them.
This type of technology is going to provide a layer of understanding that we have simply never had before. And that new understanding and insight will lead to new weapons in our armory against all types of cancer.”
Simon Newman, PhD, chief scientific officer at The Brain Tumour Charity, said: “We know glioblastoma cells respond differently to treatment, often developing treatment resistance which leads to recurrence. The development of this novel technology, which can extract samples from tumor cells grown in the lab before and after treatment, will give a unique insight into how drug resistance may develop and lead to tumors growing back.
“We hope that this important work will improve our knowledge of these complex brain tumors and allow us to find new, more effective treatments—something so urgently needed for those faced with this devastating disease.”
How does the nanopipette work?
The researchers studied single GBM cells for 72 hours. They used the nanosurgical platform, which is far too small to be manipulated by hand. The minuscule needles are precisely controlled by robotic software to maneuver them into position, into the cells in the petri dish. The nanopipette’s second needle plays a fundamental role in controlling the equipment.
The device allows scientists to take samples repeatedly, to study the disease progression in an individual cell. Much research on molecular biology is carried out on populations of cells, giving an average result that ignores the fact that every cell is different. Some cells die during treatment, but others survive. The key to finding a cure is understanding what allows one cell to survive and what is happening to the ones that die.
Lead author Fabio Marcuccio, PhD, a postdoctoral research associate in the Faculty of Medicine at Imperial College London, who carried out the research while at Leeds, said: “Our device allows the study of the way brain cancer cells adapt to treatment over time, with unprecedented precision. This tool will provide data that could lead to significant improvements in cancer treatment and prognoses.”
- This press release is supported by the University of Leeds
