Infrared Spectroscopy Offers Breakthrough in Breast Tissue Analysis
Researchers highlight potential for rapid, non-invasive diagnostic support tool using infrared light-based tissue profiling
Highlights:
A new study has shown that ATR-FTIR spectroscopy, a technique that uses infrared light to analyze tissue chemistry, may offer 100 percent sensitivity in detecting breast cancer, potentially supplementing traditional histopathology.
Researchers identified key spectral biomarkers, related to protein content and cell structure, that clearly distinguished between normal, benign, and malignant tissues.
Histopathology is the gold standard in cancer diagnosis. However, attenuated total reflectance (ATR)-Fourier transform infrared (FTIR) spectroscopy has shown diagnostic potential in other settings. Therefore, this study aimed to investigate the sensitivity and specificity of the ATR-FTIR spectroscopy in evaluating breast lesions.
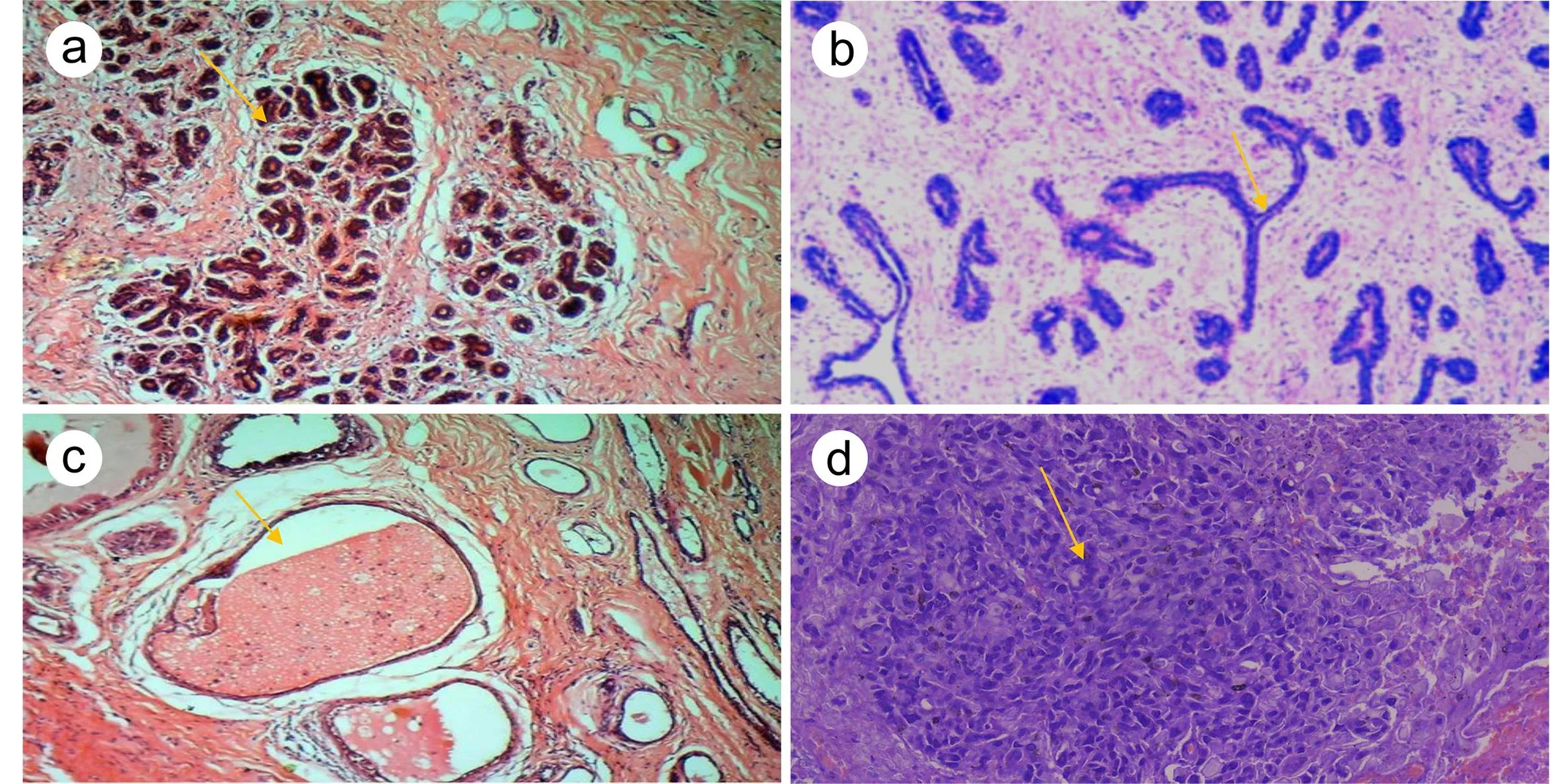
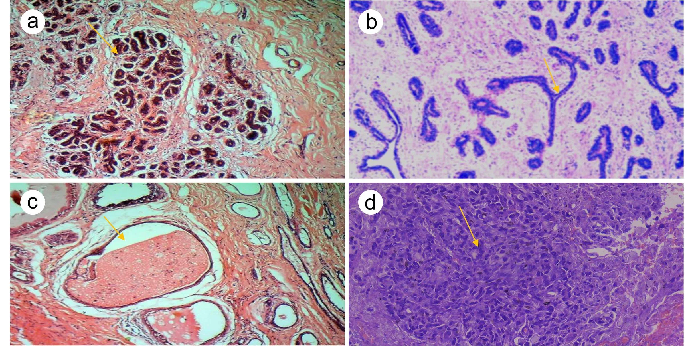
ATR-FTIR spectroscopy on breast biopsy samples
This study was conducted on formalin-fixed, paraffin-embedded biopsy blocks received at Ladoke Akintola University of Technology Teaching Hospital between 2022 and 2023. The blocks were categorized into 10 normal (from benign breast tissue), 15 benign, and 31 malignant samples. Tissue sections of 15 µm were obtained during block trimming and floated onto FTIR slides. An additional 4 µm tissue sections were stained with hematoxylin and eosin for tumor diagnosis and to identify suitable areas on the FTIR slide. Spectrometer readings were taken within the range of 4000–600 cm−1, 32 scans, and 16 cm−1 resolution, using the average of 10 preprocessed spectra per slide. Biomarkers were calculated by ratioing peak intensities for A1632/A1543, A1632/A2922, A1632/A1080, A1080/A1543, A1237/A1080, and A1043/A1543, which represent protein, diagnostic marker, cytoplasm-nucleus ratio, carcinogenesis marker, phosphate, and glycogen, respectively. The receiver operating characteristic curve was used to determine sensitivity, specificity, and the area under the curve (AUC).
Spectral biomarker accuracy in differentiating breast tissue types
The AUC analysis showed that cytoplasm-nucleus ratio values of 0.99 and 0.95 effectively distinguished normal from malignant tissue, and benign from malignant tissue, respectively (p < 0.0001). Additionally, protein marker (AUC = 0.73), diagnostic marker (AUC = 0.85), and cytoplasm-nucleus ratio marker (AUC = 0.94) were able to discriminate normal from benign tissue. Overall, the receiver operating characteristic analysis showed 100 percent sensitivity and specificity ranging from 54 percent to 87 percent. Glycogen (AUC = 1.00) exhibited 100 percent sensitivity in discriminating fibroadenoma from fibrocystic changes.
Clinical implications of ATR-FTIR in breast cancer diagnosis
The study examines the efficacy of ATR-FTIR spectroscopy in distinguishing between normal and abnormal breast tissues using specific peak ratios as biomarkers. The research highlights that certain biomarkers, particularly the nucleocytoplasmic marker, demonstrate remarkable diagnostic accuracy, achieving an AUC ranging from 0.9 to 1.0, with a sensitivity of 100 percent in differentiating normal, benign, and cancerous tissues. Glycogen is identified as the most effective discriminator between fibrocystic changes and fibroadenomas, also showing perfect sensitivity and specificity. However, there is a need for future research with larger sample sizes to validate these findings.
