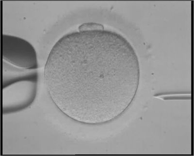
This pioneering work aims to automate and standardize a process that is currently very subjective
We’ve updated our Privacy Policy to make it clearer how we use your personal data. Please read our Cookie Policy to learn how we use cookies to provide you with a better experience.