NewsResearchers Develop New Tool That Could Lead to Noninvasive Liquid BiopsiesVanderbilt UniversityAn analytical tool called EV fingerprinting could soon replace traditional invasive biopsies for certain diseases
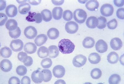
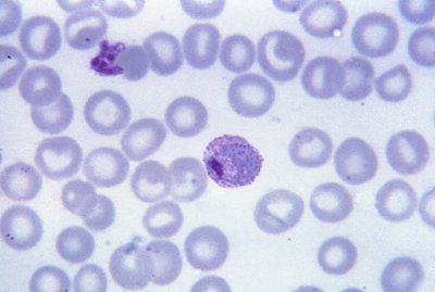
NewsA Quick DNA Test for Malaria Drug ResistanceVanderbilt UniversityThis accurate one-drop blood test uses adaptive PCR to cut out processing steps