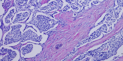
Researchers reported findings for how two subtypes of pancreatic cancer respond to treatments differently
We’ve updated our Privacy Policy to make it clearer how we use your personal data. Please read our Cookie Policy to learn how we use cookies to provide you with a better experience.