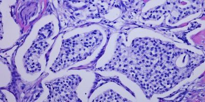
TGen and HonorHealth investigators suggest this granular analysis could lead to better treatments for pancreatic cancer patients
We’ve updated our Privacy Policy to make it clearer how we use your personal data. Please read our Cookie Policy to learn how we use cookies to provide you with a better experience.