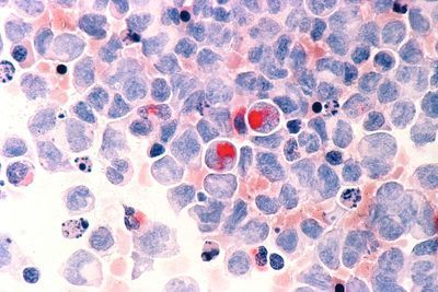
More than 90 percent of the most common cases of childhood cancer can now be classified by subtype
We’ve updated our Privacy Policy to make it clearer how we use your personal data. Please read our Cookie Policy to learn how we use cookies to provide you with a better experience.