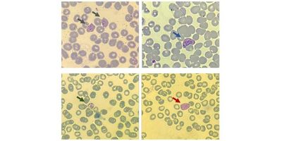
The research may help identify potential targets for the development of antimalarial drugs and possible markers relating to the risk of recurrence
We’ve updated our Privacy Policy to make it clearer how we use your personal data. Please read our Cookie Policy to learn how we use cookies to provide you with a better experience.