NewsChanges in Protein Levels Help Diagnose Oral CancerCase Western Reserve UniversityPer the NIH, head and neck cancer makes up about 5 percent of all cancers worldwide and 3 percent of all malignancies in the US
NewsAntidiabetic Drug May Reduce Colorectal Cancer IncidenceCase Western Reserve UniversityColorectal cancer is the second-leading cause of cancer mortality with 52,550 deaths per year
NewsArtificial Intelligence Predicts Response to Immunotherapy in Cancer PatientsCase Western Reserve UniversityThe study is part of broader research conducted at CCIPD to develop and apply novel AI
NewsOmicron Variant “Less Severe” than Delta for Children Ages Four and YoungerCase Western Reserve UniversityCOVID-19 Omicron variant is more infectious than the Delta variant, but has a lower risk for emergency room visits
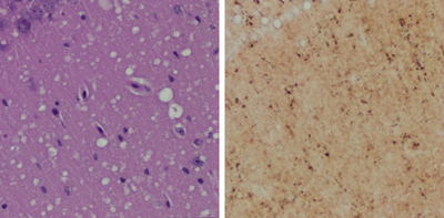
NewsNew Skin Test Detects Prion Infection Before Symptoms AppearCase Western Reserve UniversityProof-of-concept study demonstrates the test’s preclinical utility
NewsNew Options for Breast Cancer Drug Development Found in Estrogen ReceptorsCase Western Reserve UniversityCase Western Reserve researchers uncover novel drug targets by piecing together receptor structures
NewsResearchers Stop Cell Suicide That Worsens Sepsis, ArthritisCase Western Reserve UniversityChemical intervention may preserve immune cells lost during disease