AI-Driven Tool Reliably Diagnoses Blood Disorders
Trained on patient data, the open-source algorithm can aid hematological diagnoses and even genetic analyses
Scientists from the German Cancer Research Center (DKFZ) and the Cambridge Stem Cell Institute have developed an AI system that recognizes and characterizes white and red blood cells in microscopic images of blood samples. The algorithm can help physicians diagnose blood disorders and is available as an open-source method for research purposes.
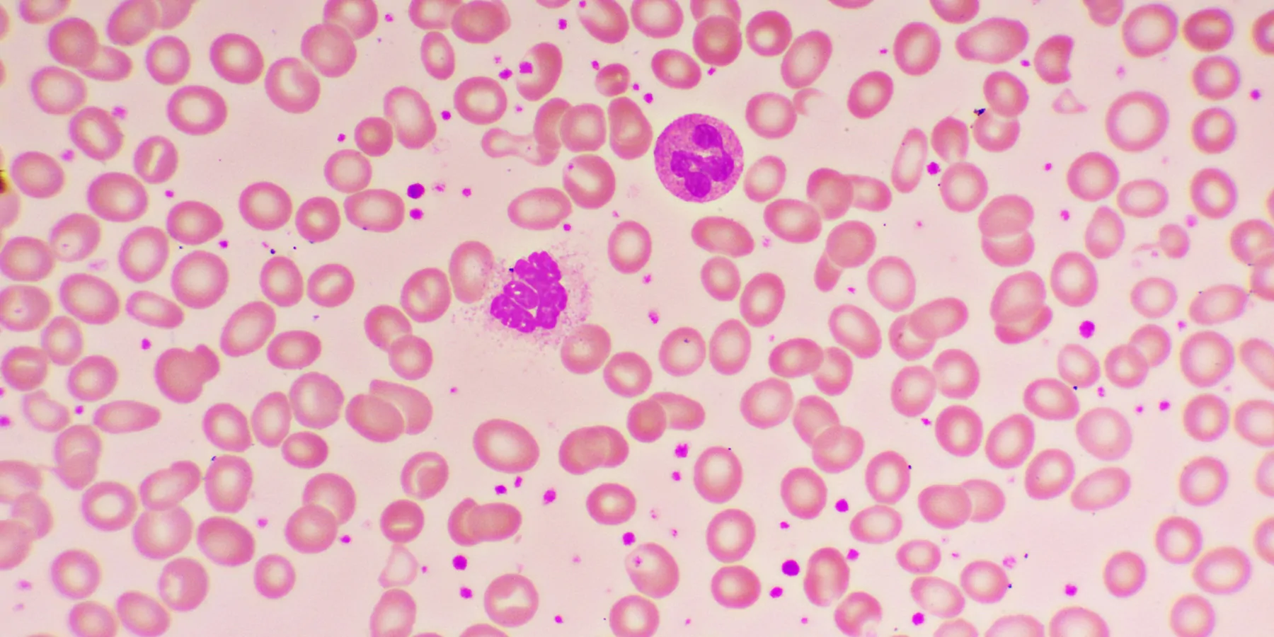
Blood disorders are often characterized by altered numbers and aberrant shapes of red and white blood cells (RBCs and WBCs). To diagnose the diseases, physicians classically examine blood smears on a slide under a microscope. This type of diagnosis is straightforward, but evaluation by experienced experts is difficult because the changes are sometimes very inconspicuous and affect only a few of the tens of thousands of visible cells.
Due to these difficulties, the differentiation of diseases is not always easy. For example, the visible changes in the blood of patients with myelodysplastic syndrome (MDS), an early form of leukemia, often resemble those of much more harmless forms of anemia. The definitive diagnosis of MDS, therefore, requires additional more invasive procedures, such as analysis of bone marrow biopsies and molecular genetic testing.
"To support specialists in these difficult diagnoses, we have developed a computer-based system that automatically recognizes and characterizes white and red blood cells from peripheral blood," explains DKFZ’s Moritz Gerstung, PhD. Gerstung and colleagues first trained the algorithm—called Haemorasis—to recognize the cell morphology of more than half a million WBCs as well as many millions of RBCs from more than 300 individuals with different blood disorders (various anemias and forms of MDS).
"The algorithm is able to detect the shape and number of tens of thousands of blood cells in a microscopic image of the blood. This complements human capabilities, which are typically more focused on detail," says Gerstung. Using the trained knowledge, Haemorasis can now suggest diagnoses of blood disorders and even distinguish genetic subtypes of the diseases. Haemorasis is available as an open-source method for research purposes and is straightforward to use. In addition, the algorithm also reveals concrete correlations between certain cell morphologies and diseases, which are often difficult to find because of the large number of cells involved.
Haemorasis has already been tested on three independent groups of patients to demonstrate that the system also works in other test centers and blood count scanner systems. "We have now demonstrated for the first time that computer-assisted analysis of blood images is possible and can contribute to initial diagnosis," explains Gerstung. Haemorasis is designed to facilitate diagnostics in hematology and can help make a more accurate initial diagnosis of blood disorders. This is important for identifying those patients who require more invasive testing, such as bone marrow punctures or genetic analysis.
"Automated cell analysis with Haemorasis could complement routine diagnosis of blood disorders in the future. So far, the algorithm has only been trained on specific diseases, but we still see great potential in this approach," says Gerstung. He stresses that further studies are needed to identify the potential limitations of the method.
- This press release was originally published on the German Cancer Research Center (Deutsches Krebsforschungszentrum) website
